Magyar Péter ismét árulással vádolja Orbán Viktort

2025-05-10 22:03
Középpontban a román elnökválasztás.
részletek

Dobrev Klára: Felkészültem a nehéz kérdésekre, a kíváncsiságra

2025-05-10 22:03
Egy főzőversenyről jelentkezett a politikus.
részletek

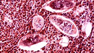
Ritka és halálos szövődményekkel járó betegség terjed Európában

2025-05-10 22:02
Évente átlagosan több mint 15 ezren halnak meg a szövődményekben.
részletek

Betörték a hódmezővásárhelyi Fidesz-iroda kirakatát, Márki-Zay Péter tanácsokkal látta el Orbán Viktort

2025-05-10 22:02
A város polgármestere úgy látja, nehéz év előtt állunk, és ez a Fideszre különösen igaz.
részletek

Egyetlen nap alatt húsz magyar nyert milliókat a lottón

2025-05-10 22:02
A legnagyobb nyeremény 9,4 millió forint volt.
részletek

Szijjártó - Magyarország kiutasított két, diplomáciai fedésben dolgozó ukrán kémet

2025-05-10 01:02
Az erről szóló döntést Ukrajna budapesti nagykövetének az elmúlt percekben adták át.
részletek

Észak-Korea nukleáris válaszcsapást szimulált - Kim Dzsongun személyesen felügyelte a gyakorlatot

2025-05-10 01:02
A hadgyakorlat egyik fő célja az úgynevezett "nukleáris elsütőrendszer" tesztelése volt.
részletek

Gyurcsány Ferenc visszavonul a közélettől

2025-05-09 15:02
Dobrev Klára beszámolt arról is, hogy elválnak Gyurcsány Ferenccel.
részletek

Ezt a tejet semmiképp se fogyassza el

2025-05-09 08:02
A fogyasztóvédelem is visszahívta.
részletek

Halálos baleset történt Solymárnál

2025-05-09 08:02
Egy 25 éves férfi a helyszínen meghalt.
részletek

Orbán Viktor Gyurcsány Ferenc válásáról: Együtt érzek, nem lehet egyszerű

2025-05-09 08:02
A kormányfő ismét a Kossuth rádió vendége volt.
részletek

Újra elérhető a KRÉTA szülői rendszere az iPhone-okon

2025-05-09 08:02
14 napot kellett várni rá.
részletek

Élénk szél teheti tönkre a péntek tavaszias időjárását

2025-05-09 08:02
A hőmérséklet 14 és 18 fok közé melegedhet fel.
részletek

A menstruációs szegénység nem létezett a számukra, de ha az infláció ellen harcol, a kormánynak máris fontos a női higiéniás termékek árcsökkentése

2025-05-09 07:01
Hosszú évek óta próbálták elérni szakértők és civil szervezetek, hogy több európai uniós tagállamhoz hasonlóan a magyar kormány is törölje el, vagy csökkentse a női higiéniai termékek áfáját. A menstruációs szegénység növekvő veszélyére eddig mégsem reagált a kormány. Most úgy tűnik, az „indokolatlan áremelések” és az infláció elleni harc miatt mégis fontos lett, hogy olcsóbbak legyenek a betétek és a tamponok.
részletek